跳至主內容
嘉基檢驗醫學科Moodle平台
您正使用訪客身分瀏覽 (登入)
  • 正體中文 ‎(zh_tw)‎
    • 正體中文 ‎(zh_tw)‎
    • English ‎(en)‎

課程資訊

頁面路徑
  • 首頁 / ►
  • 課程 / ►
  • 檢驗醫學科 / ►
  • 醫檢師在職教育訓練 / ►
  • 門診組 / ►
  • 教學檔案區 / ►
  • 血液教學檔案 / ►
  • 2025年血球型態辨識測驗 / ►
  • 摘要

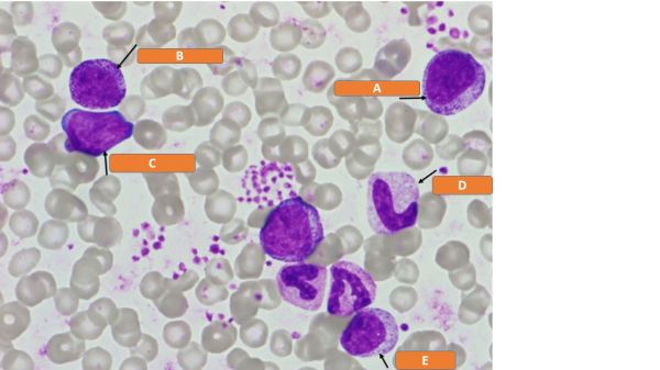
2025年血球型態辨識測驗


跳過導覽區塊

導覽

  • 首頁

    • 網站頁面

      • 標籤

      • 行事曆

      • 討論區最新消息

      • 網址開課申請

      • 頁面Moodle課程暨手冊

    • 課程

      • 檢驗醫學科

        • 醫事教學評鑑系統

        • 醫檢師在職教育訓練

          • 科共同課程區

          • 門診組

            • 醫檢師年度訓練

            • 新進醫檢師訓練

            • 教學檔案區

              • 外部能力試驗

              • 血液教學檔案

                • 淋巴瘤簡介_20250912

                • 2025年血球型態辨識測驗

                • Lymphoma Cell (一) 讀書會

                • ACLTOP350 血凝儀器介紹

                • XR ALIFAX ESR

                • APTT血凝異常訊息處理

                • D-Dimer*0000血凝異常訊息處理

                • 血液檢體採集技巧與指引介紹

                • CLSI H47介紹

                • CLSI H51 A5

                • CLSI H20人員間白血球分類作業

              • 鏡檢教學檔案

              • 抽血教學檔案

            • 職務交班作業

            • PGY 進階教學資源

            • PGY 基礎教學資源

            • 翻轉教學 血液 鏡檢

          • 急檢生化組

          • 血清免疫組

          • 微生物組

          • 血庫組

          • 病理科

        • (Hot!)自主學習計畫專區

        • 檢驗實習生教學

        • 實習生/PGY空白手冊下載

        • 臨床病理專科醫師

        • 新進檢驗人員(PGY2)

        • 血液職務交班作業

      • 病理科

      • 共用區

您正使用訪客身分瀏覽 (登入)
2025年血球型態辨識測驗